La gingivite de grossesse et ce que les femmes enceintes doivent savoir
- Kobi Mohsseni
- 15 déc. 2022
- 2 min de lecture
Dernière mise à jour : 14 janv. 2023
Qu'est-ce que c'est?
Une forme bénigne de maladie des gencives. Environ la moitié des femmes enceintes auront des saignements des gencives lorsqu'elles utiliseront la soie dentaire ou se brosseront les dents.

Pourquoi cela arrive-t-il?
Vos gencives peuvent devenir plus sensibles aux bactéries présentes dans la plaque en raison des fluctuations hormonales. La gingivite de grossesse est une affection qui peut être assez désagréable et s'aggraver si elle n'est pas traitée.
Combien de temps ça va durer?
La gingivite de grossesse, si elle est traitée rapidement, ne devrait durer que le temps de votre grossesse et, dans de rares cas, pendant une courte période après.
Cependant, si vous ne traitez pas le problème rapidement, une parodontite peut se développer.
Cela détruira l'os de soutien de vos dents en plus de vos gencives (dommages irréversibles).
Comment traiter la gingivite de grossesse ?
Si vous développez des symptômes de gingivite de grossesse, vous devez consulter votre dentiste immédiatement.
Votre dentiste ou votre hygiéniste pourra vous aider à régler le problème par la prévention et un nettoyage intensif.
Même si les gencives saignent, continuez à vous brosser les dents et à passer la soie dentaire comme d'habitude.
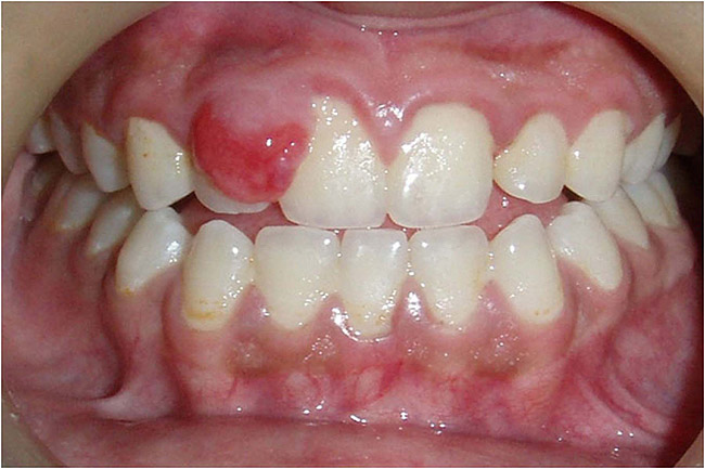
Il existe une autre forme de maladie des gencives pendant la grossesse appelée granulome pyogénique
Les femmes enceintes peuvent développer un granulome pyogénique de la grossesse, généralement après le troisième mois.
Au fur et à mesure que la grossesse avance, la probabilité de développer une tumeur semble augmenter.
Votre granulome pyogénique va-t-il disparaître naturellement ?
Étant donné que les granulomes pyogéniques proviennent souvent de changements hormonaux pendant la grossesse, votre médecin peut vous conseiller d'attendre la fin de la grossesse pour voir s'ils disparaissent d'eux-mêmes. Sinon, la chirurgie devra l'enlever. C'est un traitement chirurgical mineur car indolore, sans souci. cela peut être fait par un dentiste généraliste ou un chirurgien buccal.

Image source:




Commentaires